Patah Tulang Kaki, Valentino Rossi Dipastikan Absen Di MotoGP San Marino Italia 2017 Nanti
Sore pembaca sekalian.
Nasib kurang beruntung kembali dialami oleh pebalap Yamaha Movistar yaitu Valentino Rossi tahun ini, setelah tahun lalu mahkota juara dunia pupus di seri-seri terakhir, kini Rossi sepertinya harus lebih bersabar lagi.
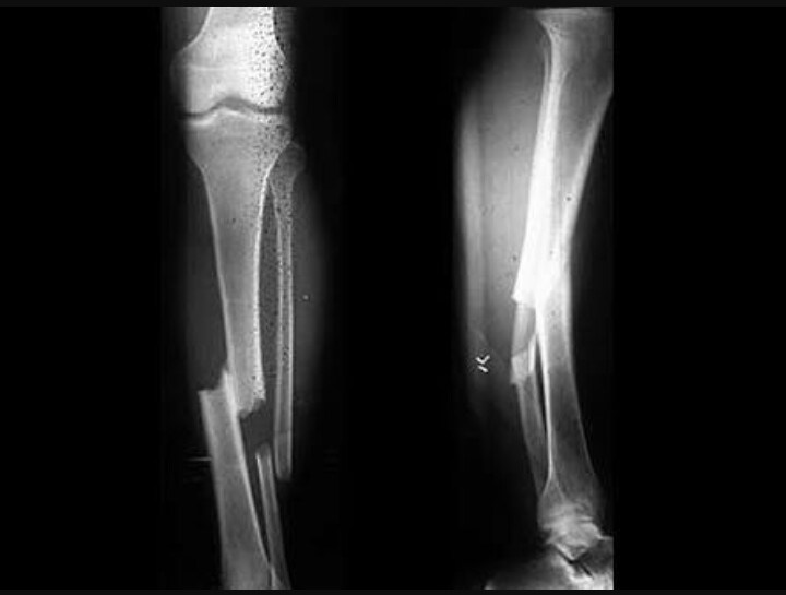
Saat sesi latihan dengan menggunakan motor Trail, Rossi mengalami kecelakaan dan membuat tulang kakinya patah, dan parahnya lagi ini adalah tulang kaki yang pernah patah pada tahun 2010 lalu sehingga pihak dokter tidak bisa memberikan jaminan waktu kapan Rossi bisa kembali mengaspal mengasapi lawan lawannya.

Dan sudah dipastikan pula oleh William Favero, Humas Tim Yamaha yang mengatakan, bahwa saat ini pihaknya belum bisa memastikan siapa pengganti Rossi pada MotoGP San Marino, 10 September mendatang. Dia menyatakan saat ini Yamaha fokus membantu Rossi memulihkan diri dan sekaligus ini adalah pernyataan resmi bahwa untuk MotoGP seri San Marino Italia dia akan Absen di Sirkuit yang notabene adalah Sirkuit Favorit dan Kampung halaman sendiri.
Cukup menyedihkan sobat, namun apapun itu kita cukup berdoa agar Rossi segera pulih seperti biasa dan kembali mengaspal bertarung dengan pebalap lainnya di lintasan MotoGP.
Get Well Soon VR46.
Baca juga
[archives limit=15]
